When Pain Silences More Than Words
At 25, Namratha should’ve been thriving—working as a software engineer, socializing, smiling. But for months, even simple acts like speaking, yawning, or eating felt unbearable. Her jaw was constantly sore, her ears rang endlessly, and the clicking every time she opened her mouth only reminded her that something was very wrong.
“I couldn’t even fit two fingers between my teeth. I was scared to speak. Every movement hurt.”
She had seen five different TMJ specialists. All of them said the same thing: You need surgery.
But Namratha wasn’t ready to accept that as her only option.
A Different Kind of Consultation
When Namratha came to us, she carried more than a diagnosis—she carried despair. But her case was also full of possibility.
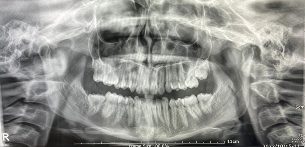
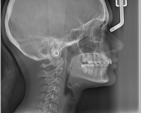
Clinical Findings:
- Mouth opening: 29 mm with leftward deviation
- Muscle tenderness: Masseter, temporalis, lateral pterygoids
- Bite: Deep bite, contributing to dysfunction
- TMJ clicking on the left side
- MRI: Bilateral Disc Displacement Without Reduction (DDwoR) and joint strain
She was in pain, physically and emotionally. Others saw a surgical case. We saw a human being who needed relief—without the knife.
Phase I: Stabilizing the Joint, Restoring Hope
We began with TMJ orthotic therapy—a custom-made mandibular splint to offload the joints, reduce inflammation, and decompress the muscles. Alongside, she received physiotherapy and posture correction training.
“Each month, I felt the weight lift just a little more.”
After 12 Months:
- Mouth opening increased from 29 mm → 49 mm
- Clicking and pain significantly reduced
- Headaches eased
- Confidence returned

Phase II: Orthodontic Alignment for Lasting Results
With her jaw now stable and pain-free, Namratha entered the next stage: orthodontics. Unlike her earlier treatment attempts, this was done on a joint that had been healed and supported.
Final Outcome:
- Mouth opening: 56 mm
- No pain, no clicking, no fear
- Stable occlusion and full function
- Namratha was smiling again—this time without holding back
Today: Full Circle Healing
Namratha didn’t just finish treatment. She returned to life.
Recently, she walked back into the clinic—not for herself, but to bring her child for their first dental visit.
“You didn’t just treat my jaw. You healed my spirit.”
Her words reminded us why we do what we do.
Clinical Takeaway: Function First, Not Fear
Namratha’s case proves a vital truth:
Even advanced TMJ disorders with disc displacement can be healed conservatively.
🔹 Proper diagnosis is key
🔹 Phase-wise therapy—starting with orthotic stabilization—prevents unnecessary surgery
🔹 A compassionate, patient-centered approach transforms outcomes

Final Thoughts: There Is Another Way
If you’ve been told surgery is your only option for TMJ pain, pause—and read Namratha’s story again.
This wasn’t a miracle. It was a structured, science-backed, and human-focused approach to healing.
You don’t have to live with jaw pain.
You don’t have to accept suffering.
You are not alone—and you are not without hope.
Let this story be your sign. We’re here. And we believe healing begins with being heard.