“It Wasn’t Just Jaw Pain — It Was Her Life Slowly Shrinking Around It.”
TMJ disorders are often invisible to everyone except the person living through them.
They start quietly — a little stiffness here, a dull ache there — and before long, every part of life begins to revolve around pain.
For Meera, a 36-year-old architect, that pain became her shadow.
It dulled her mornings, muted her laughter, and stole her peace.
“The Pain That Silenced Her Smile.”
It began subtly — stiffness when she woke up, a dull ache when she spoke or chewed.
Soon came the headaches, ear ringing, neck tension, and sleepless nights.
She sought help everywhere: physicians, ENT specialists, neurologists — every test came back “normal.”
Each time, she heard the same words: “It’s just stress.”
But the pain kept worsening. Eating became a task. Smiling felt forced. The vibrant designer who once poured creativity into every project began retreating behind discomfort and fatigue.
“I started avoiding conversations because talking hurt,” she later said. “I just wanted to feel normal again.”
“When Answers Felt Out of Reach.”
Every Specialist Had a Different Label — But No Solution.
Migraines. Stress. Muscle tension. Psychological strain.
Meera had heard them all.
She tried painkillers, night guards, physiotherapy — each one promised relief, but none lasted.
By the time she came to us, she was physically drained and emotionally exhausted.
Her words were simple:
“I don’t want to live like this anymore.”
Our Findings
“Her Body Wasn’t Broken — It Was Crying for Balance.”
Clinical examination revealed the true picture beneath her years of frustration:
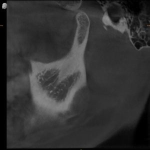
- Restricted mouth opening of 31 mm
- Jaw deviation to the right during opening
- Tenderness in the masseter, temporalis, and lateral pterygoid muscles
- Deep overclosure and visible clenching patterns
- Joint noises on movement
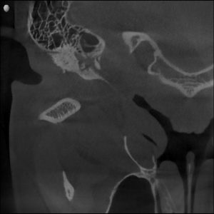
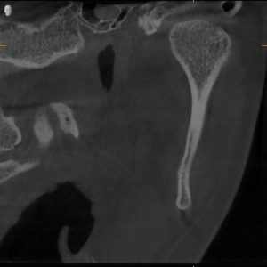
MRI confirmed bilateral disc displacement without reduction — both jaw joints had discs that had slipped out of position, causing compression and inflammation.
Her condition wasn’t “just stress.” It was mechanical, structural, and treatable.



“When Surgery Isn’t the Only Way Forward.”
A Path Back to Comfort — Step by Step, Function by Function.
Instead of jumping to surgery (as she’d been advised elsewhere), we took a conservative, functional route.
- Phase I – Stabilization Orthotic
A custom orthotic was designed to decompress her joints and reduce muscle strain.
- Functional Rehabilitation
Through guided therapy, posture correction, and habit awareness, her body began relearning balance.
- Monitoring and Adjustment
Regular follow-ups ensured her healing stayed on track — no rushing, no shortcuts.
Within weeks, her headaches eased. Over months, her posture improved, her jaw clicking faded, and her sleep deepened.
“From 31mm to 47mm — And From Surviving to Smiling.”
After 8 months of dedicated care:
- Her mouth opening improved from 31 mm to 47 mm.
- Jaw deviation resolved.
- Pain and stiffness disappeared.
- Headaches became a memory.
Once her joint health stabilized, we began Phase II: Orthodontic Therapy — not for aesthetics, but to realign her bite and support long-term joint harmony.
She Walked In With Pain. She Walked Out With Peace.”
At the end of 15 months, Meera’s transformation was remarkable:
- No jaw pain or headaches
- Balanced bite and relaxed muscles
- Improved facial symmetry and posture
- Restful, uninterrupted sleep
During her final review, she smiled softly and said:
“I had forgotten how it felt to wake up without pain.
You gave me back my mornings.”
Her eyes filled with tears — not from pain this time, but pure relief.
Healing Beyond the Jaw – A Clinical Perspective
“When Function Returns, Life Follows.”
Meera’s case highlights the importance of conservative, function-based TMJ therapy.
Many patients are told that surgery is their only option — when, in reality, a structured, stepwise approach can restore balance naturally.
Clinical & Radiographic Findings
- Bilateral disc displacement without reduction
- Restricted opening (31 mm → improved to 47 mm)
- Myofascial tenderness and deep bite
- Significant parafunctional clenching pattern
Diagnosis
Bilateral TMJ dysfunction with disc displacement and muscular hyperactivity.
Treatment Approach
- Phase I: Stabilization orthotic to restore joint space
- Phase II: Functional orthodontics to support long-term alignment
- Myofunctional rehabilitation and posture correction
- Periodic monitoring to sustain joint balance
Outcome
- Full recovery of function and comfort
- Elimination of chronic pain and headaches
- Improved posture, sleep, and facial symmetry
- Renewed emotional wellbeing and confidence
“She Didn’t Just Heal — She Found Herself Again.”
Meera’s journey reminds us that true healing happens when we treat people, not just their joints.
When pain is addressed from its root — with compassion, patience, and science — it gives back more than comfort.
It gives back hope.
“Because Every Smile Deserves a Second Chance.”