It Wasn’t Just Jaw Pain… It Was His Entire Life
What starts as a small clicking sound in the jaw can quietly evolve into something much bigger — something that affects how you eat, sleep, think, and live.
For Mr. Karthik, A 36 year old, a software engineer, this was not just discomfort.
It was five years of unanswered pain.
The Silent Takeover: How Pain Became His Daily Reality
At first, it seemed harmless — a slight click in the jaw.
But over time, it turned into a complex web of symptoms:
- Persistent temple headaches
- Ringing and pressure in the ears
- Jaw clicking and occasional locking
- Pain while chewing
- Neck stiffness and shoulder tightness
- Facial muscle pain
- Difficulty opening the mouth
- Poor sleep and constant fatigue
This wasn’t just a jaw issue anymore. It was affecting his entire quality of life.
The Endless Search for Answers
Like many patients with TMJ disorders, Karthik went from one specialist to another:
Dentists. Neurologists. ENT specialists. Orthodontists. Physiotherapists.
He tried everything:
- Painkillers
- Muscle relaxants
- Night guards
- Physiotherapy
- Supplements
Nothing worked.
At one point, jaw surgery was suggested — a step he wasn’t ready to take without clarity.
Why TMJ Disorders Are Often Misunderstood
TMJ disorders don’t just affect the jaw.
They can mimic:
- Headaches
- Ear problems
- Neck pain
- Even neurological symptoms
Because of this, many patients are misdiagnosed, dismissed, or treated symptomatically — not at the root cause.
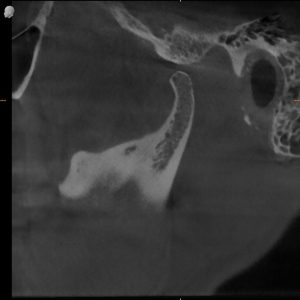
A Closer Look: What Was Really Happening
When Karthik finally reached the clinic, a comprehensive evaluation revealed:
- Mouth opening restricted to 30 mm
- Jaw deviation to the left during opening
- Severe tenderness in key muscles:
- Masseter
- Temporalis
- Lateral pterygoid
- Neck and shoulder muscle tightness
MRI Findings:
- Bilateral disc displacement without reduction
- This explained everything — the pain, the restriction, the dysfunction


The Turning Point: Choosing Function Over Surgery
Instead of rushing into surgery, the focus shifted to correcting the root cause.
Treatment Strategy
A customized TMJ orthotic appliance was designed to:
- Decompress the joints
- Relax overworked muscles
- Guide the jaw into a stable, functional position
No shortcuts. No aggressive intervention.
Just structured, evidence-based, conservative care.
The Comeback: Step-by-Step Healing
Within 6 Weeks
- Noticeable reduction in headaches
By 8 Months
- Ear ringing disappeared
- Muscle pain significantly reduced
- Jaw clicking minimized
- Mouth opening improved to 48 mm
At 12 Months
- Orthodontic stabilization performed
The Final Outcome: A Life Restored
- Mouth opening improved to 55 mm
- Jaw pain completely resolved
- Headaches and ear symptoms gone
- Normal chewing restored
- Sleep improved dramatically
From surviving daily pain… to living normally again.
The Bigger Lesson: TMJ Is Treatable — Without Surgery
Karthik’s journey highlights something important:
TMJ disorders are not just dental problems — they are functional, multi-system conditions.
With:
- Accurate diagnosis
- A structured treatment plan
- Focus on muscle and joint function
Many patients can recover completely — without surgery.
Final Thought
“It wasn’t just his jaw that healed — it was his life.”
If you or your patients are dealing with unexplained facial pain, headaches, or jaw issues…
- Don’t ignore it.
- Don’t settle for temporary relief.
The right diagnosis can change everything.