When TMJ Pain Shadows Life’s Happiest Moments
TMJ disorder doesn’t just affect the jaw—it can dim even the brightest celebrations.
For Aparna, a 49-year-old mother preparing for her daughter’s wedding, TMJ disorder became an unexpected burden:
- Persistent ear ringing and pressure
- Severe dizziness and loss of balance
- Headaches that spread across her temples
- Shoulder stiffness and pain while opening her mouth
- Clicking and discomfort with every bite and word
A time meant for joy was clouded by constant suffering.
Living Behind a Smile: A Hidden Battle
While her family dreamed of the wedding, Aparna was silently struggling.
She endured:
- Sleepless nights due to headaches and ear ringing
- Dizziness that shook her confidence
- Stiffness that made simple activities painful
- Anxiety that her pain would ruin her daughter’s big day
Even more discouraging—15 years earlier, while living in the U.S., she had fought the same TMJ battle. Though treatment had once helped, the pain had cruelly returned—just when she wanted to feel happiest.
Closed Doors, Limited Options
Like many patients, Aparna feared being told her only option was surgery—or that her pain was “just stress.”
But she wanted real, lasting relief. Not quick fixes. Not drastic interventions.
A Gentle Road to Recovery
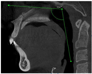
Her evaluation revealed:
- Mouth opening: 48 mm (adequate but painful)
- Bite: Well-aligned
- Muscle tenderness: Lateral pterygoid, masseter, temporalis
- MRI: Bilateral disc displacement without reduction
Instead of surgery, Aparna began customized orthotic therapy—a conservative, non-surgical approach designed for healing with care.


Step by Step, Healing Returned
Within just 4 months, Aparna’s life was transformed:
- Ear pain and ringing disappeared
- Dizziness and imbalance stopped
- Headaches eased away
- Comfort and confidence returned
By the time of her daughter’s wedding, she was completely pain-free—dancing, laughing, and enjoying every moment she thought pain would steal.
Her therapy continued for 16 months total, ensuring long-term stability.
A New Beginning
Today, Aparna is thriving again:
- Pain: Completely gone
- Balance: Fully restored
- Daily life: Back to normal
- Emotional peace: Beyond priceless
She now lives freely, without the fear of relapse.
What Aparna’s Story Teaches Us
TMJ disorder doesn’t have to take away life’s precious memories.
- Relief is possible without surgery.
- Healing is possible with the right approach.
- Joy is possible again.
Aparna’s Words of Gratitude
“I thought my daughter’s wedding would be overshadowed by my pain. Instead, I was able to enjoy every second, pain-free. This treatment gave me my life back.”